Welcome to Dentalest Sighișoara!

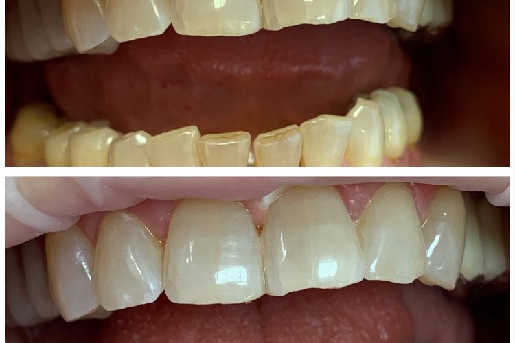
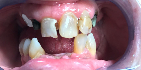
Our Work

Piața Hermann Oberth Nr. 25/III

Sighișoara, România

+40 751 544 856

Contact Us!

Opening Hours

Lu-Vi: 10-19 / Sâ: 10-14

Email

contact@dentalest.ro